Ontdekkingsreis
Een anaplastische astrocytoom (graad 3)
Symptomen
Evenals laaggradige astrocytomen kunnen anaplastische astrocytomen zich presenteren met epileptische aanvallen of gedragsveranderingen. Echter, uitvalsverschijnselen staan meer op de voorgrond.
-
Verlammingsverschijnselen, in het bijzonder zwakte van een lichaamshelft
-
Moeite met of uitval van de spraak
-
Stoornissen van het gezichtsvermogen, in het bijzonder uitval van een helft van het gezichtsveld: botsen tegen de deurpost, verwaarlozing van een helft van het lichaam
-
Hoofdpijn, misselijkheid en braken
-
Gevoelsuitval
Diagnose
Een astrocytoom graad III groeit onbehandeld snel door in het omliggende hersenweefsel; de ziektegeschiedenis is daarom meestal relatief kort. De meeste patiënten zijn tussen de 30 en 50 jaar oud, iets vaker mannen dan vrouwen. Een MRI toont meestal een grillige, slecht begrensde tumor die met contrast kan aankleuren. De diagnose moet gesteld worden door onderzoek van het weefsel.
Behandeling
De behandeling hangt vooral af van de omvang van de tumor en de plaats in de hersenen. De behandeling bestaat meestal uit een operatie gevolgd door radiotherapie en soms chemotherapie.
Er is geen standaardbehandeling als de tumor terugkomt. Opnieuw zal worden bekeken wat mogelijk is. Bovendien zijn er meerdere experimentele behandelingen die in studieverband worden gegeven.
[Bron:www.hersentumor.nl]
De reiziger

en al zul je vaak niet weten naar wat je hunkert…… het is de sneeuwvlok in je, die stroomt naar de zee.
Kahlil Gibran, De tuin van de profeet.
10 mei, 2006
De operatie duurde negen uur! Negen uur wakker zijn terwijl je geopereerd wordt. Ik kan niet zeggen hoe dat voelt.
11 tot 19 mei
Ik kan niet praten en met mijn rechterkant kan ik niet bewegen. Ik ben helemaal in de war. Alle gedachtes constructief, nee het wil niet, de bel ligt rechts, ik kan er niet bij, ik krijg een toeval. Dan de uitslag: goed!
Drie dagen later de definitieve uitslag, niet goed. Kwaadaardige cellen. Ik wil roepen laat me niet alleen, laat me niet vallen, maar het wil niet. Uitgeput val ik in een nachtmerrieachtige slaap.
in het ziekenhuis

Johran en Peter hebben me voorgelezen uit een dichtbundel van Rutger Kopland. Een gedicht dat me raakt is 'Afdaling op klaarlichte dag'.
Je ziet hoe het gebeurt
het is klaarlichte dag – en het gebeurt
voor je ogen zie je hoe het lichaam
van een vrouw
levend afdaalt in de aarde.
Het is heel licht het is van dat hevige
lente-licht waarin je weer even ziet: ja dit
dit was het landschap
hemel, aarde, wilgen, water, gras.
Lichaam denk ik, als je het lichaam bent van haar
Waar heb je haar gevonden
Waar breng je haar heen
Waar laat je haar gaan
En hoe moet het zijn zonder jou
hoe lang, hoe diep, hoe alleen.
Rutger Kopland
Maar ik capituleer niet!

Mijn handen wilden schrijven, typen en in mijn hoofd duizend en één gedachtes, maar er kwam niets constructief uit. Allemaal verwarde gedachtes. Ik had niet gedacht dat dit een van de mogelijkheden was hoe ik uit de operatie zou komen.
De rechterkant van mijn lichaam was krachteloos, dit betekende o.a dat ik niets met mijn rechterhand kon doen. Niet schrijven, niet eten, mijn linkerhand moest het overnemen van mijn rechterhand. Ook het rechterbeen was krachteloos, dit betekende ondermeer dat ik nooit meer zou kunnen hardlopen. Maar wat ik het meeste miste was mijn stem, het praten, zonder nadenken iets zeggen wat heel gewoon is. Ik kon de woorden niet meer vinden, die waren verdwaald in mijn hoofd.
Nu zit ik aan de andere kant van de lijn, als revalidant. Ik moet alles weer leren. Ik kan moeilijk van zittend tot staand komen. Mijn woordvindstoornissen zorgt soms voor hilarische situaties. Ik kan een heleboel niet maar een paar dingen kan ik wel en dat is aan geïnteresseerde therapeuten uit te leggen wat belevingsgerichte zorg is. Gebrekkig, maar altijd inventief en creatief.
Dáár zitten de therapeuten, aan de ander kant van lijn zitten de zieken, gehandicapten en ik. Er is verschil en ik houd me aan die onuitgesproken afspraak.
Mijn contract bij mijn werkgever wordt niet verlengd. Het is alsof ik tegen een muur aanloop. Ik heb nog zoveel ambities met betrekking tot de zorg.
Er is geen weg terug

Het brein
In de eenzaamheid
van deze wereld,
in de diepste krochten
van mijn brein,
reddeloos en desolaat
is het onzichtbare
zichtbaar gemaakt,
het onzegbare,
zegbaar gemaakt
het ondenkbare,
denkbaar gemaakt,
de waarheid van het weten,
de oorsprong,
dan raken mijn woorden
jouw leven
en verandert
het denken.
Baudine Hiemstra
Versuft hoor ik aan dat ik bestraling moet hebben. Bestraling in mijn hoofd? Mijn hoofd? Met lood in de schoenen sta ik voor het RIF, 'Radiologisch Instituut Friesland'. Alles in me roept, huilt, schreeuwt, NEE NEE! Niet doen. Wie weet wat er nog meer kapot kan gaan in het centrum van mijn lijf, het mystieke, waar herinneringen zitten, gevoelens, ervaringen en nog zoveel meer. De radioloog weet mij te kalmeren. Eerst wordt er een masker gemaakt van gips en met het masker op zal ik dertig keer bestraald worden, vastgeklonken aan de bank zodat mijn hoofd niet beweegt. Gelukkig is mijn zusje Janet elke keer bij me. Zij is een anker voor mij.
Na zes weken intensieve bestraling stap ik de taxi in, richting huis. Dit was de laatste keer, ik ben uitgeput. Het masker mocht ik meenemen. Het RIF deed het voor mij in een plastic tasje, van de 'Marskramer'.
Beproeving

December 2006
Na een MRI-scan blijkt dat de tumor is gegroeid, de bestraling ten spijt. Wezenloos kijk ik de neuro-oncoloog aan. Dit kan toch niet. Maar het kan. Tranen vinden hun weg, ik niet.
De neuroloog adviseert een chemokuur. De kans dat de groei van de tumor afneemt of stopt is 50%.
De chemokuur die ik moet nemen zorgt voor grote misselijkheid waarvoor ik medicatie krijg die vervolgens weer tot obstipatie lijdt waarvoor ik ook weer medicatie krijg. Ik heb het gevoel alsof de omstandigheden waar ik me in bevind, mij beproeven.
Nu niets meer, gewoon leven

In April 2007 blijkt, nadat ik drie maanden een chemokuur heb ondergaan, dat de tumor niet is geslonken of is gestopt met groeien, integendeel, hij is met 50 % gegroeid. Er is een mogelijkheid tot een nog zwaardere chemokuur. Misschien zou die wel helpen.
Tot overmaat van ramp blijkt, na een bloedonderzoek, dat ik een leverontsteking heb. De leverwaarde in mijn bloed mag tussen de 0-40 in zitten. Die van mij is 252. Het volgende onderzoek is of ik een virale infectie heb (hepatitus a, b, of c ). Dat blijkt niet zo te zijn. Het waren dus de medicijnen.
Iedereen wist wat ik moest doen en ik werd er gek van. Tenslotte besloot ik om niets te doen.
Eerst bij mijn eigen vertrouwen komen en vanuit daar een besluit te nemen.
Mijn beslissing;
M.b.t de tumor geen bestraling. M.b.t de de leverontsteking geen andere medicijnen en als het even kan ook geen bezoek aan de internist. Wel doe ik om de twee weken een bloedonderzoek.
Rainer Mara Rilke: Ons hoofd is rond zodat ons denken van richting veranderen kan.
Ik wil GEWOON leven.
Nu moet ik het verschrikkelijke nieuws over de uitslag en mijn definitieve besluit nog aan Johran vertellen.

Ik ben de speler
Ik zwerf door weilanden,
spring met mijn polsstok over slootjes.
In de lente zoek ik vogeleieren.
Ik bouw een vlot, ik stook een vuurtje,
ik loop op bouwplaatsen rond,
vind pijpen
en blaas mijn zelfgemaakte pijlen
door geopende slaapkamerramen.
Baudine Hiemstra
Geluk

Ik ben gelukkig, hoe bizar dat ook klinkt. Alsof een grote rust over me heen valt. Gevoelens als verdriet en boosheid kunnen wel mijn stemming bepalen, maar niet de koers die ik vaar. Ziek zijn en gelukkig zijn lijkt een paradox, maar is voor mij volstrekt logisch. Misschien omdat de ziekte mij dwingt om alles langzamer te doen.
...op een avond
is er een harteklop op de deur.
Buiten een vrouw in de mist
met haren van twijgen en een jurk van wier
druipend van groen meerwater.
Ze zegt: 'ik ben jou'
en ik heb ver gereisd.
Kom mee, ik moet je iets tonen.
Ze draait zich om, haar mantel valt open,
opeens, gouden licht... overal, gouden licht.
Clarissa Pinkola Estés
De wereld van Leven en Sterven

December 2007.
Toen kwam de grote verrassing!
Ik vroeg aan mijn neuro-oncoloog om weer een MRI-scan te maken, met name omdat ik me niet goed voelde de voorgaande weken. Een week na de MRI-scan kreeg ik de uitslag: de tumor was geslonken! Ongelovig zat ik daar, hoe kan een kwaadaardige tumor plotseling slinken? Een enorm gevoel van blijdschap maakte zich van mij meester. Dat gevoel is verscheidende weken bij me gebleven, totdat ik merkte dat ik aan het marchanderen was met de dood, mijn rust was weg. De rust die ik had toen ik zeker wist dat ik zou sterven. Je bent voorbereid op de dood en tevreden hoe je je leven geleefd hebt en plotseling krijg je te horen dat de tumor is geslonken.
Ik moest iets doen met de tijd die mij gegeven werd.
Je hebt me laten leven,
daarom smeek ik je te leven
zoals je nog nooit eerder hebt gedaan.
C. P. Estés
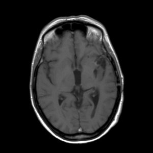
Uitslag MRI-scan 3 november 2008

'Hoe is het mogelijk, dit kan niet, dit is bizar, zoiets heb ik nog nooit gezien maar het is waar'. Dit waren de woorden van de neuro-oncoloog. Mijn vriendin Ineke en ik bogen ons naar haar computer waar het onverklaarbare resultaat stond. Op de MRI-scan was te zien dat de kwaadaardige tumor zich had teruggetrokken. De tumor had een donkere holte met een grillige tumorrand achtergelaten. De neuro-oncoloog benadrukte nog eens dat het echt heel bijzonder was en dat zij en de radioloog voor een raadsel stonden. Ik vroeg haar wat dit betekende voor de prognose van mijn levensverwachting. Ze zei dat er nog één of misschien zelfs twee jaar zou bijkomen. Meer durfde ze er ook niet over te zeggen.
Ik belde met mijn nicht Baukje, lachend kwamen we op het volgende gedichtje:
Ik ben een wondertje!
Jij bent bijzondertje!
januari 2009

Ik vind het zwaar,
het leven met beperkingen de
woordvindstoornissen.
Steeds iets nieuws vinden.
Het rust op mijn schouders.
Ik bezwijk.
Soms denk ik;
hoe zou het zijn wanneer
ik niets meer hoef.
Niets-heid.
Zoektocht naar het einde.
De stilte.
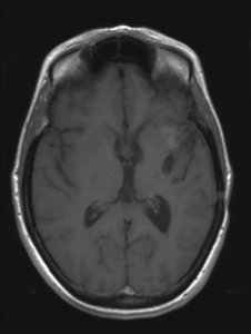
De MRI-scan van oktober 2009

De MRI scans van 2006 en 2007 zijn niet correct geïnterpreteerd. Wat toen als tumorgroei werd gezien blijkt nu een reactie van de bestraling te zijn. De chemokuur was overbodig omdat de tumor niet groeide. Wat je nu ziet is de tumor die enigzins gegroeid lijkt, maar dat is niet zeker. Als het zeker is moet je overwegen om opnieuw bestraald te worden. Meer patienten zijn ook met de verkeerde boodschap (dat de tumor groeit) naar huis gegaan,ook in andere ziekenhuizen.
Volgens de arts is de voortschrijdende medische wetenschap keerpunt in de diagnose geweest.
Ik probeer het te begrijpen maar het gaat niet. Ik ben in de war, de wereld staat op z’n kop. Hoe kan dat?? Wezenloos, de chemotherapie voor niets? Johran zijn ongeloof, de mijne. Allerlei beelden gaan door me heen. Mijn begrafenis, bankje in het bos en nog zoveel meer. Berusten dat ik dood zou gaan. Dat verschrikkelijke nieuws aan Johran vertellen. Het was ontluisterend. Was dat allemaal voor niets?
Berusten, accepteren van wat ik niet kan veranderen.
Geruisloos huilen, trillen, beven en dan weer ademhalen.

Gedachtes in raadselen
Ik dwing mezelf om te lopen,
mank in mijn hoofd, benen, armen.
Is het waar als iemand zegt ‘het is waar’?
Ik twijfel aan woorden
die te groot zijn voor mijn ogen,
raadselachtig voor mijn oren,
die alleen maar kunnen bestaan mijn brein.

Ik zit gevangen in mijn eigen lichaam.
Hoe meer ik mezelf tracht te ontworstelen
aan het idee dat ik er geen tumorgroei was,
des te meer raak ik verstrikt in mijn eigen
lichaam, mijn geest, mijn verdriet.
Ik voel me overgeleverd aan een spin
die een kleverig web maakt
waaraan niemand kan ontkomen.
Der Tod ist gross
wir sind die seinen
lachenden munds.
Wen wir uns mitten im Leben meinen
wagt er zu weinen
mitten in uns
Rainer Maria Rilke
begrijpen

Ik wend mij tot een vriendin die een specialist is op het gebied van "Caring for adult survivors of childhood cancer". Zij stelt mij gerust en legt mij uit wat er precies aan de hand is. De mail die ik van haar kreeg was deze:
Lieve Baudine,
Wat een verwarrende situatie waar je in beland bent. Om alvast op je laatste vraag antwoord te geven, nee ik denk niet dat andere specialisten tot een ander inzicht waren gekomen en daarmee met een ander beleid waren gekomen.
Je moet je realiseren dat een MRI een plaatje is waarop een proces zichtbaar wordt oa door aankleuring met contrast. Met een MRI kun je dus vervolgen of een “proces” groter of kleiner wordt. Maar een MRI geeft geen inzicht in de aard van het proces, je weet niet welke cellen toegenomen zijn.
De MRI na de bestraling liet zien dat het ‘proces”in jouw hersenen gegroeid was. Omdat men wist met een kwaadaardige tumor te maken te hebben, is daaruit de op dat moment voor de hand liggende conclusie getrokken dat de radiotherapie helaas niet geholpen had. Na de aanname dat de radiotherapie niet geholpen leek te hebben heeft men het voorstel voor chemotherapie gedaan. Naar mijn mening op goede gronden. Helaas blijkt vaker dat als de tijd verstrijkt je voor verrassingen kan komen te staan zoals ook in jouw geval. Toen na een hele tijd een MRI werd herhaald bleek ‘het proces’in de hersenen eerder kleiner te zijn geworden dan de groei die men eigenlijk had verwacht. Op dat moment heeft men de conclusie moeten trekken dat de toename van het proces na de bestraling dus een gevolg moet zijn geweest van de bestraling een soort oedeem (zwelling) tgv de straling. Deze conclusie is echter alleen te maken door het beloop in de tijd en deze conclusie was niet te maken in een eerder stadium.
Wat men nu achteraf kan zeggen is dat de bestraling bijzonder succesvol is geweest en dat in dat licht je je kan afvragen of aanvullende chemotherapie nog nodig was geweest. Maar misschien heeft ook de chemo toch wel degelijk bijgedragen aan de genezing dat zul je nooit helemaal zeker weten.
Dit betekent ook dat het vanaf nu wel zinnig is om met enige regelmaat de MRI te vervolgen. Mocht er ooit weer op de MRI een toename van het proces gezien worden dan is namelijk opnieuw radiotherapie een goede behandelingsmogelijkheid. (chemo ligt wat minder voor de hand omdat je dat slecht hebt verdragen).Je moet alleen pas overwegen te gaan behandelen als op de laatste MRI duidelijk een groei te zien is van het proces, weet jij of de laatste MRI een verschil aangaf met de vorige? Als je het goed vindt kan ik in het UMCG ook de gemaakte MRI’s van jou bekijken als het jou niet helemaal duidelijk is geworden.
Het is natuurlijk voor jou moeilijk te verteren dat je achteraf misschien helemaal geen chemo nodig had gehad en dat de vooruitzichten na de bestraling veel rooskleuriger waren dan men jou destijds heeft kunnen voorspiegelen. Ik geloof oprecht dat dit niet aan de specialisten heeft gelegen. Een MRI hoe mooi de techniek ook is blijft natuurlijk een plaatje en daarmee moet je als specialist dan toch een beslissing nemen. Je kan helaas niet steeds een echt kijkje in het hoofd nemen. Het spreekwoord ‘de tijd zal het leren’ geld ook vaak in de geneeskunde. De tijd maakt soms veel duidelijk over een bepaald ziekteproces, daarom zeggen wij ook wel eens spottend dat de laatste dokter altijd gelijk heeft. De eerste dokter heeft nl niet de beschikking over de informatie die het verloop van een ziekte meebrengt.
Ik hoop Baudien dat je de veerkracht kan opbrengen om hiervoor begrip te hebben en dat je het vertrouwen in de oncoloog en radioloog mag behouden.
Liefs.
Ik begrijp het. Binnenkort laat ik opnieuw een MRI maken, en als de tumor gegroeid is laat ik opnieuw een behandeling met radiotherapie doen.
19 januari 2010

Vandaag ga ik naar de neuro-oncoloog toe. Nerveus zit ik met mijn vriend en zoon in de wachtkamer. Ik aarzel opnieuw over de bestraling. Wel of niet....
Goed nieuws!!
Op de scan was sprake van enige aankleuring, maar de neuro-oncoloog is er van overtuigd dat het geen tumorgroei is maar nog een oedeem van de bestraling. Volgens haar duwt de tumor andere cellen aan de kant en een oedeem doet dat niet. Bovendien is de aankleuring ook a-typisch wat betekent dat hij niet als ronding begint en juist dát hoort bij een glioom.
Wantrouwend als ik nu ben, vraag ik of een onafhankelijke patholoog nogmaals wil controleren of het daadwerkelijk een glioom graad drie is.
gebroken, eind april 2010

De glioom is graad twee, niet graad drie.
Machteloos en razernij, dat is wat ik nu voel!
Als de neurochirurg tijdens de operatie minder van de tumor had weg genomen dan had ik nu nog kunnen werken, regisseren, autorijden, koken, huishouden, hardlopen, telefoneren, communiceren, dat en nog veel meer!
Als ik niet gevraagd had of mijn weefsel uit de operatie 2006 opnieuw te laten onderzoeken door een onafhankelijke patholoog, dan wist niemand dat het een glioom graad twee betrof. Dan werd mijn ziekte alsmaar raadselachtiger.
Ik ga een afspraak maken met de neuro-chirurg en de patholoog die mijn weefsel voor de tweede keer onderzocht heeft.
Tijgers en Zebra's

Ik stuurde een e-mail naar de betreffende patholoog om zijn verslag aan mij uit te leggen. Ik was verbaasd, normaliter spreek je niet met de patholoog, maar hij deed het! Het was een zeer verhelderend gesprek en hij beantwoordde al mijn vragen.
De beknopte samenvatting van de patholoog op maandag 3 mei 2010:
Tijgers en Zebra's
De patholoog legt de ingewikkelde situatie eenvoudig uit. Denk aan tijgers en zebra’s en stel je voor dat er vele verschillende vormen tussen deze twee zitten. Op dat moment kun je niet vanuit één eigenschap zeggen of de tumor een tijger – hooggradig – of een zebra – laaggradig – is. Een tumor kan bijvoorbeeld de aanleg hebben om agressie te vertonen, de gevolgtrekking is dan al snel een tijger. Maar daarnaast is er sprake van zwart witte strepen, hoeven en vele andere aspecten die vertrouwd zijn bij een zebra. In die situatie zit ik. De eerste onderzoeken richtten zich meer op de tijgeraspecten, deze second opinion ging echter uit van de zebratrekken. De gradatie van mijn tumor is, met andere woorden, compleet afhankelijk van de patholoog die deze onderzoekt en de criteria van de WHO (World Health Organisation) kunnen hierin niet concreet en eenduidig zijn.
Een gesprek met de neuro-chirurg, 10 juni 2010

Na vier jaar sta ik weer oog in oog met de man wiens hand mij onveranderbaar heeft veranderd. Hij ziet er keurig uit en glimlacht terwijl hij mij geduldig de hand schudt. De hand, die mij heeft gemaakt tot wat ik nu ben. Zwaar gehandicapt zoals hij het zelf verwoordt. Ik begin met mijn vragen, hij leunt een beetje achterover met zijn handen over elkaar, hij doet afstandelijk aan. “Hebt u mij niet gezien en mijn kreunen niet gehoord tijdens het hechten van de hoofdhuid?” Hij zegt het niet meer te weten en bladert door mijn medisch dossier van de operatie op zoek naar aanwijzingen van het kreunen. “Als u zo kreunt dan dienen we extra verdoving toe, dat staat ook in het verslag”. Ik kijk op mijn papiertje en lees de volgende vraag op. “Denkt u dat u te ver bent gegaan met het weghalen van mijn hersenweefsel?” Hij kan het mij niet goed vertellen, stelt dat hij het niet anders had gedaan, zelfs als hij wist hij dat mijn toestand de afloop zou zijn. “Ik probeer altijd zo veel mogelijk veilig weg te halen, dit resultaat was onverwacht.” Hij kan niet zeggen waarom het operatieresultaat anders is dan voorgesteld. “Bij elke operatie is er een kans dat er iets niet goed gaat. Dat is van te voren ook besproken, er zijn risico’s, de risico’s zijn klein maar wel aanwezig.” Mijn zoon Johran vraagt wat een kleine kans dan precies is, na enig aandringen noemt hij toch een getal. Het risico bij deze operatie lag rond de tien procent. Een kans van één op tien vinden wij aanzienlijk groot, een kans van één op tien om niet beter maar slechter uit de operatie te komen. Hij is het er niet mee eens: “Gezien vanuit de medische wereld is dat geen grote kans”. Hij verspreekt zich nog nadat Johran vraagt hoe door het ziekenhuis met een operatie wordt omgegaan met tegenvallend resultaat. “Wij hebben altijd speciale nabesprekingen over operaties die misl.. anders aflopen dan gewenst.” Mislukt dus. Wanneer ik opsom wat hij met mijn operatie mij heeft ontnomen, merk ik eindelijk wat meer emotie. Ik kan niet meer werken, regisseren, autorijden, schrijven, koken, huishouden, ik ben mijn zelfstandigheid kwijtgeraakt, inkomen kwijtgeraakt en als het zo doorgaat verlies ik ook mijn huis. Hij stamelt even, “Uw situatie gaat ons niet in de koude kleren zitten, het doet u nog veel meer dan ons, maar ook wij zijn hiervan geschrokken. Dit had niet de afloop moeten zijn. Maar ik zie nu een sterke vrouw voor me, die weliswaar een verkorte levensverwachting heeft maar zich niet uit het veld laat slaan en dat moet u ook niet doen. In het UMCG is het gebruikelijk dat één arts het contact met de patiënt onderhoudt, in uw geval dr. Enting, daarom hebt u weinig meer van mij gehoord. Maar ik ben u niet vergeten, compleet het tegenovergestelde.”
Voor mij is het klaar, ik kan mij nu verzoenen met mijn ziekte.
Is het echt?

27-07-2010
Twee weken na de MRI-scan heb ik weer een afspraak met de neuro-oncoloog. Het eerste wat ze zegt is dat de tumor stabiel is. Sterker nog, hij is ietsje in omvang afgenomen. Terwijl mijn klachten zijn toegenomen,(ik heb meer last van epileptische aanvallen, hoofdpijn en moeite met spreken) is de tumor ietwat afgenomen? Ik ben zeer verwonderd, maar erg blij. "Uitzonderlijk" zegt ze, "ik heb dit in mijn praktijk nog nooit meegemaakt".
"Er is niets veranderd en alles is in beweging".
Ik kan dat niet vaak genoeg zeggen.
December 2010, wazig en somber

De tumor is ietsje gegroeid. Ik ben wazig en somber. Ik praat steeds moeilijker, vreselijk is dat! Ik teken, wandel, en ik lees. Dat is alles.
De tumor, Juni 2011

Er zit een nieuwe plek met aankleuring in het oude tumorgebied.
Iklaat het langs me heen gaan. Misschien omdat ik de medici niet geloof. Niet huilen, niet beven, niet trillen... Niets van dat alles. Het laat me koud. Verwonderd kijk ik toe hoe geschokt mijn familie en vrienden zijn.
Ik kan de MRI van juni wel laten zien, maar liever laat ik onze Theatergroep Thespis een buiging maken voor het publiek...
Juli 2011 Mysterieus

De tumor is onveranderd. Alweer iets merkwaardigs aan mijn hoofd, of mijn lichaam, of de tumor. Het valt niet te verklaren!
T.S. Eliot
.... ik wist niets meer,
ik keek in het hart van het licht,
de stilte.
Verward

Ik heb met de neuro-oncoloog gesproken. De glioom graad 2 zit er nog steeds maar de glioom graad 3 (groeit sneller) is nog steeds hetzelfde. Ik krijg wel meer medicijnen. De neuro-oncoloog vind dat ik naar de revalidatie zou moeten maar dat heb ik afgewezen.
Niets is veranderd en alles is in beweging

Ik ben in januari bij de neuro-oncoloog geweest. Ondanks dat ik weer veel klachten had was de MRI-scan onveranderd. Ik kreeg opnieuw meer medicijnen tegen de epilepsie. Ik heb besloten dat ik maar één keer per week naar MediFit toe ga. Ik kan dan wat meer wandelen.
11 oktober 2012
Ik heb in het ziekenhuis gelegen. Mijn arm was totaal verlamd en ik kon enkel onverstaanbare klanken uit brengen. Nu ben ik weer thuis, mijn arm en spraak is beter, ik ben nog wel een beetje wankel en moe. De neuro-oncoloog stelde een MRI voor. Vond ik wel een goed idee.
Een TIA

Op de MRI was niks te zien, de tumor was nog precies het zelfde. Ik wist zeker dat het geen epilepsie was geweest, wat dan?? De neuro-oncoloog zei:
Pijnlijke voet!

'Verstuikte enkel' maar voor de zekerheid toch maar een röntgenfoto laten maken. Gelukkig niet gebroken!!!
Beugel, november 2014

Ik heb een beugel aan mijn re. been!!! Dat betekend nu dat ik weer 12 km kan lopen!!!
T.S Eliot

Wat is erger:
de onweerlegbare feiten
of hoe we ze blijven weigeren?

website maken